ゼタバイト時代、砂浜の砂粒ほどの情報量らしい



ピントがずれてますね
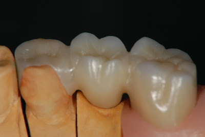
適合の難しい インレーブリッジです一歩一歩 スキルがアップし前進
コツコツやるのが一番いい、意識と心がけでアップデートバージョンアップが無料で
可能ってところが励みになりますしw 実があります
一番細いミリングバーで慎重かつ繊細にしつこいぐらいミリングしました
特にマージン付近の処理がコツをつかみ!!調整時間が最短でした!
けど適合は、ゴールドインレーには、コレからも勝てないでしょう!!!!☆
 
最近は内面の確認にペインとタイプではなくフィルムタイプの咬合紙
で確認も良いみたいですね 当たっている所と、こ擦って跡がついているところを
区別し あたっているところだけを削除します。


さんまの、はらわたが美味しいですw秋!

オールセラミックの適合について
『メタルの特に貴金属のような吸い付くような
フィットはできないですか???』と聞かれること
多くないですか??僕は多いです、

あれには、負ける!!!完敗
メタルにはメタルの良さがあり、メタルにしか出来ない事がある
ジルコニア、ニケイ酸それぞれに一長一短、個性がある。


そこにこだわるなら ともにチェアサイドと
テクニシャンサイドの歩み寄りが必要だと考えてます、
接着の知識や、歯科医師サイドの形成一つで 
いくらか向上する部分も過分にある、と感じる
それを無視してテクニシャンにすべての責任と
技術的な要求をしてくる人もいる

こちらがいくら説明してもダメな人はだめw、
あのフィット感と安心感は脳裏に相当な刷り込みとして入り
気持ちが良いのだろうか?・・・?  そこだけに
こだわる人は トラディショナルなメタル補綴にこだわり
回帰していく人も多い、当然技工士も模型に粘り吸い付いていくような 
感覚は仕事をしていて本当に気持ちのよい物です。

色々な規格認可され商品化されたメタルであろう
とメタル技工を長くしてて思うのは、自分自身の手の汚れ
や湿疹や、かゆみ 実際患者さんに会い数多くのMB、HRのやり直し 
コレを口の中に四六時中いれて良いんだろうか???直感として
あまりよろしくない、

カフェや電車、店や車両すべての人がモバイルでネット接続
その光景は異様で気持ち悪いですが、よく遭遇します
良い悪いは別としてネット情報化社会、気になる歯科情報が流れれば 
即!グーグル検索! 良い情報も悪い情報も
自分で取捨選択し、近所の歯科医院を選別、

治療、補綴法方云々ではなく 感覚として
知識と情報さえ手に入れれば末端患者も
金属は出来ることなら体内 口に入れたくない、そう思っている
人は圧倒的に多いはずで、そのような方向からの見方も今の時代アリではないか
と感じております!

N先生、鋭いご質問ありがとうございます
こちらも勉強になりました!
また何かありましたらぜひ!!!ぜひ☆w(^,^)/~~~

0 件のコメント: